Skip to content Skip to sidebar Skip to footer

Beule Am Zahnfleisch Ohne Schmerzen

Beule Am Zahnfleisch

Beule Am Zahnfleisch

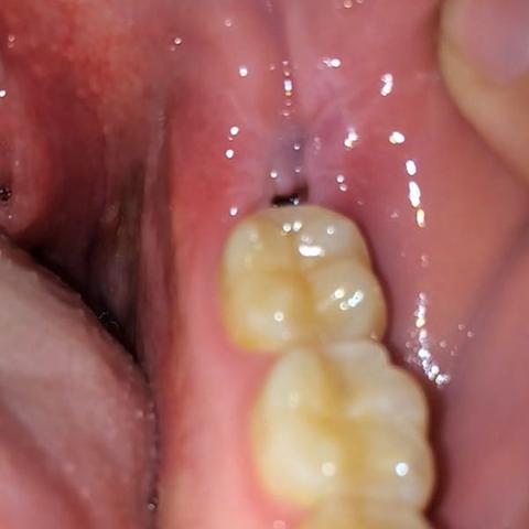
Beule am zahnfleisch ohne schmerzen. Die braucht sie dann auch. In diesen Fällen sollte man am besten zwei bis drei Tage abwarten und schauen ob sich die Situation bessert. Das sieht nach einer stark entzündeten Zahnfleischtasche aus.

Am Zahn und Zahnfleisch können viele Probleme entstehen. Die beuele ist vermutlich ein sich ausbildender abszeß der von alleine nicht besser wird auch die schmerzen werden nicht besser. Der wird die Stelle behandeln und ihr wahrscheinlich Antibiotika verschreiben.

Weitere Auslöser können sein. Eine Eiterbeuleentsteht durch die Entzündung im Knochen und am Zahn. Probleme am Zahn wie Zyste Fistel Eiter Schwellung.

Zahnentzündung apikal bedeutet dass sich die Entzündung an der Wurzelspitze befindet. Das Anschwellen vom Zahnfleisch und evt. Wenn die Wurzel am Zahn entzündet ist macht sich dies meist bemerkbar durch die Schmerzen und ein leichtes anschwellen vom Zahnfleisch.

Dehnt sie sich bis zum Kieferknochen aus heißt. Deshalb empfindet der Betroffene keine Schmerzen obwohl sich die Entzündung mit großer Wahrscheinlichkeit schon tief in den Kiefer hinein vorgearbeitet hat. Ein traumatischer Zahnunfall oder eine Verletzung.

Entweder wurde das Zahnfleisch durch mechanische Reize verletzt oder eine Infektion mit Viren Bakterien oder Pilzen ist schuld an der Entzündung. Die Beule ist unnachgiebig aber sie ist ja noch ein Kind. Diese Bakterien können einen Abszess verursachen selbst wenn die Zähne gesund und frei von Löchern sind.

Mit der richtigen Betäubung ist die Behandlung vom Zahn ohne Schmerzen. Eine Schwellung des Zahnfleisches ist ein Anzeichen für eine Entzündung.

Beule Am Zahnfleisch Was Ist Das Gesundheit Und Medizin Gesundheit Arzt

Beule Am Zahnfleisch Was Ist Das Gesundheit Und Medizin Gesundheit Arzt

Beule Am Zahnfleisch Was Ist Das Gesundheit Und Medizin Gesundheit Arzt

Beule Am Zahnfleisch Was Ist Das Gesundheit Und Medizin Gesundheit Arzt

Was Ist Das Fur Eine Beule Am Zahnfleisch Oben Links Gesundheit Und Medizin Krankheit Zahnmedizin

Was Ist Das Fur Eine Beule Am Zahnfleisch Oben Links Gesundheit Und Medizin Krankheit Zahnmedizin

Was Sind Das Fur Helle Beulen In Meinem Zahnfleisch Gesundheit Arzt Krankheit

Was Sind Das Fur Helle Beulen In Meinem Zahnfleisch Gesundheit Arzt Krankheit

Zahnfleisch Die Meistgelesenen Fragen

Zahnfleisch Die Meistgelesenen Fragen

Abszess Im Mund Am Zahnfleisch Behandlung

Abszess Im Mund Am Zahnfleisch Behandlung

Hilfe Am Zahnfleisch Beule

Hilfe Am Zahnfleisch Beule

Zahnfleisch Die Meistgelesenen Fragen

Zahnfleisch Die Meistgelesenen Fragen

Dicke Backe Ursachen Hausmittel Und Behandlung

Dicke Backe Ursachen Hausmittel Und Behandlung

Epulis Ursachen Symptome Behandlung Medlexi De

Epulis Ursachen Symptome Behandlung Medlexi De

Abszess Im Mund Am Zahnfleisch Behandlung

Abszess Im Mund Am Zahnfleisch Behandlung

Geschwollenes Zahnfleisch Ecdi

Geschwollenes Zahnfleisch Ecdi

Parodontitis Zahnfleischschwund Dunkler Fleck Minimed At

Parodontitis Zahnfleischschwund Dunkler Fleck Minimed At

Weisse Beule Am Zahnfleisch Denta Beaute

Weisse Beule Am Zahnfleisch Denta Beaute

Schwellung Am Zahnfleisch Zahne Zahnarzt Zahnpflege

Schwellung Am Zahnfleisch Zahne Zahnarzt Zahnpflege

Zahnfleisch Die Meistgelesenen Fragen

Zahnfleisch Die Meistgelesenen Fragen

Zysten Im Zahnfleisch Oder Kiefer Was Tun

Zysten Im Zahnfleisch Oder Kiefer Was Tun

Abszess Im Mund Am Zahnfleisch Behandlung

Abszess Im Mund Am Zahnfleisch Behandlung

Pickel Am Zahnfleisch Zahnfistel Gefahrlich Oder Doch Harmlos

Pickel Am Zahnfleisch Zahnfistel Gefahrlich Oder Doch Harmlos

Abszess Im Mund Am Zahnfleisch Behandlung

Abszess Im Mund Am Zahnfleisch Behandlung

Zahnfleisch Die Meistgelesenen Fragen

Zahnfleisch Die Meistgelesenen Fragen

Punkt Am Zahnfleisch Aphte Zahne

Punkt Am Zahnfleisch Aphte Zahne

Zahnfleisch Angeschwollen Gesundheit Und Medizin Zahne Zahnschmerzen

Zahnfleisch Angeschwollen Gesundheit Und Medizin Zahne Zahnschmerzen

Https Encrypted Tbn0 Gstatic Com Images Q Tbn And9gcr0wsydejfb 92wgb Ccqemgyg3g63yi3ylpxbjdyovzj Dyrv Usqp Cau

Https Encrypted Tbn0 Gstatic Com Images Q Tbn And9gcr0wsydejfb 92wgb Ccqemgyg3g63yi3ylpxbjdyovzj Dyrv Usqp Cau

Zyste Entfernen Am Zahn Zahnfleisch Oder Kiefer Zahnchirurgie Zpk

Zyste Entfernen Am Zahn Zahnfleisch Oder Kiefer Zahnchirurgie Zpk

Ein Abszess Im Mund Mit Zahnabszess Salbe Behandeln

Ein Abszess Im Mund Mit Zahnabszess Salbe Behandeln

Kieferabszess Ursachen Symptome Behandlung

Kieferabszess Ursachen Symptome Behandlung

Geschwollenes Zahnfleisch Vorbeugung Ursachen

Geschwollenes Zahnfleisch Vorbeugung Ursachen

Milchzahn Unter Eiter Wie Helfe Ich Meinem Kind Dentalplanet

Milchzahn Unter Eiter Wie Helfe Ich Meinem Kind Dentalplanet

Zahnfleisch Die Meistgelesenen Fragen

Zahnfleisch Die Meistgelesenen Fragen

Zahnfleischabszesse Eiterungen Am Parodont Und Gingiva

Zahnfleischabszesse Eiterungen Am Parodont Und Gingiva

Kieferabszess Ursachen Symptome Behandlung

Kieferabszess Ursachen Symptome Behandlung

Abszesse

Abszesse

Wurzelkanalbehandlung Bei Engen Kanalen Zahnnotizen

Wurzelkanalbehandlung Bei Engen Kanalen Zahnnotizen

Ist Das Eine Eiter Beule Gesundheit Zahne

Ist Das Eine Eiter Beule Gesundheit Zahne

Verursacht Eine Fistel Am Zahnfleisch Schmerzen

Verursacht Eine Fistel Am Zahnfleisch Schmerzen

Klinische Bilder

Klinische Bilder

Geschwollenes Zahnfleisch Vorbeugung Ursachen

Geschwollenes Zahnfleisch Vorbeugung Ursachen

Eiter Am Zahnfleisch Eiterblase Aufstechen

Eiter Am Zahnfleisch Eiterblase Aufstechen

Abszess Im Mund Am Zahnfleisch Behandlung

Abszess Im Mund Am Zahnfleisch Behandlung

Komplikationen Wahrend Und Nach Der Zahnarztlichen Prophylaxe Zwp Online Das Nachrichtenportal Fur Die Dentalbranche

Komplikationen Wahrend Und Nach Der Zahnarztlichen Prophylaxe Zwp Online Das Nachrichtenportal Fur Die Dentalbranche

Zahnfleisch Und Mundschleimhautbeschwerden

Zahnfleisch Und Mundschleimhautbeschwerden

Dicke Backe Ursachen Hausmittel Behandlung Das Hilft

Dicke Backe Ursachen Hausmittel Behandlung Das Hilft

Zahngranulome Symptome Ursachen Und Behandlung

Zahngranulome Symptome Ursachen Und Behandlung

Wie Gefahrlich Sind Fisteln Im Mund Apotheken Umschau

Wie Gefahrlich Sind Fisteln Im Mund Apotheken Umschau

Zahnfleischentzundung Gingivitis Ursachen Symptome Behandlung Netdoktor

Zahnfleischentzundung Gingivitis Ursachen Symptome Behandlung Netdoktor

Geschwollenes Zahnfleisch Vorbeugung Ursachen

Geschwollenes Zahnfleisch Vorbeugung Ursachen

Schwellung Unter Der Zunge Wie Heisst Die Stelle Gesundheit Und Medizin

Schwellung Unter Der Zunge Wie Heisst Die Stelle Gesundheit Und Medizin

Zahnfleisch Die Meistgelesenen Fragen

Zahnfleisch Die Meistgelesenen Fragen

Ein traumatischer Zahnunfall oder eine Verletzung.

Es entsteht ein sogenannter Abszess. Sie sollten jedoch sofort Ihren Arzt anrufen wenn Sie zusätzlich zu einer Beule eines der folgenden Symptome bemerken. Werde auf jeden Fall zum Zahnarzt müssen habe aber eine riesen Angst das sich nun eine Wurzelentzündung oder sogar noch schlimmeres dahinter verbergen könnte. Damit muss sie DRINGEND zum Zahnarzt. Das kann an einer leichten Entzündung oder einer Wucherung liegen. Zudem ist das frühe Stadium einer Infektion des Zahnfleisches meist schmerzlos. Ist ein Zahn oder ein Zahnnerv entzündet schmerzt nicht nur der Zahn selbst. Die braucht sie dann auch. Fragt am besten den Ärztlichen Bereitschaftsdienst Tel.


Sie sollten jedoch sofort Ihren Arzt anrufen wenn Sie zusätzlich zu einer Beule eines der folgenden Symptome bemerken. Mit großer wahrscheinlichkeit ist der zahn abgestorben kann auch symptomolos passieren. Deshalb empfindet der Betroffene keine Schmerzen obwohl sich die Entzündung mit großer Wahrscheinlichkeit schon tief in den Kiefer hinein vorgearbeitet hat. Fragt am besten den Ärztlichen Bereitschaftsdienst Tel. 116 117 wer heute Zahnärztliche Bereitschaft macht. Damit muss sie DRINGEND zum Zahnarzt. Weitere Auslöser können sein.

Post a Comment for "Beule Am Zahnfleisch Ohne Schmerzen"